一例复杂的前牙反合患者的种植美学修复
梁光强
+ 加关注

患者,女,50岁。

主诉:改善美观,后牙种植。

口内检查:四环素牙,前牙反合并且伴有重度磨耗,46、47残根,由于重度磨耗和反合关系,颌间距变低,修复空间不足,12-22II度松动,X光显示牙根较短,骨支持少,骨质初步判断为四类骨,

计划方案:

1、12-22拔除做即刻种植2-3颗,改变牙冠颜色;

2、抬高咬合3-4个月后,上颌余留牙全冠修复;

3、上前牙永久修复,恢复正常覆合覆盖关系。

图片

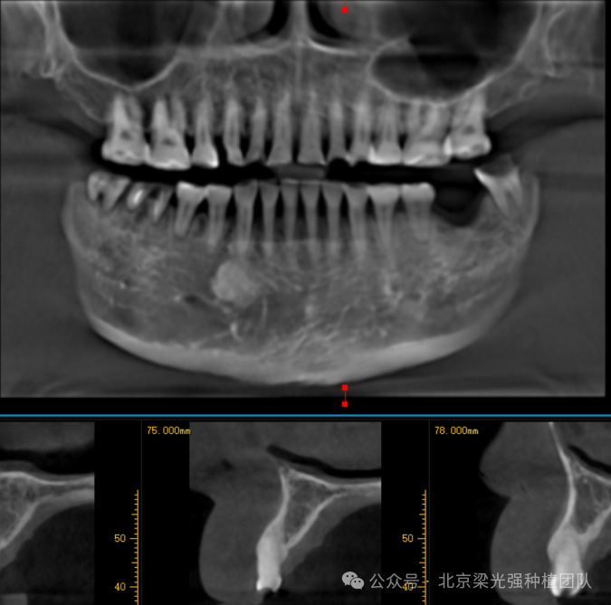
术前CBCT:

图片

抬高咬合2.5mm,足够空间将咬合调整至正常覆合覆盖。

图片

确定咬合关系,虽然抬高了咬合,但正常的息止合位间隙存在:

图片
图片
图片

取好关系后,局麻下,46、47残根拔除:

图片
图片

用“葫芦钻”修整骨面:

图片

再使用环切套装中直径为4.0mm的环切钻在纵隔处定位,预备窝洞的同时,保留了自体骨柱:前牙即可种植需要植骨,自体骨同时具有骨生成性、骨诱导性和骨传导性,是移植骨最佳的材料选择。

图片
图片

图示可拆卸式环切钻的使用方法:大家在临床上可能也遇到过,环切钻取完骨柱后,从钻管儿里往外掏骨柱时很费力,梁老师研发的这款工具是可拆卸的,管壁厚度在切端处最厚,连接处最薄,所以取下的骨柱在最上端与周围管壁间有间隙,从切端往根方很容易就可以推出来。

图片
图片
图片
图片
图片
图片
图片

12-22局麻下拔除,先锋钻备洞,用平行杆观测方向,植体植入三要素:位点、方向、深度。首先确定的是位点和方向。

图片

将保留下来的自体骨柱研磨成自体骨屑:由于骨密度为四类骨,密度太小,植入植体前先将骨屑塞入窝洞,以便增加摩擦力。

图片
图片
图片
图片

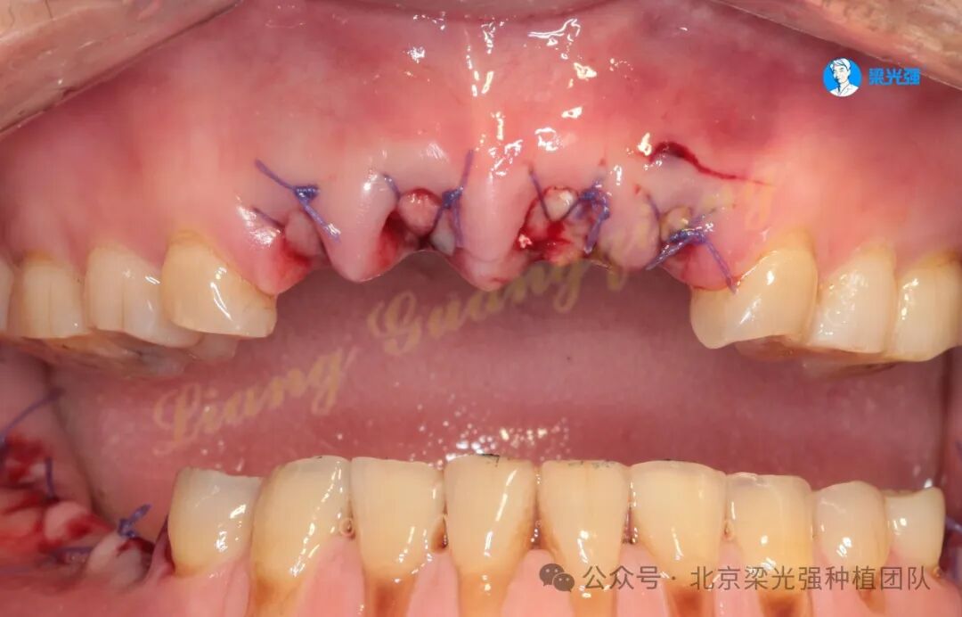
21未植入植体,拔牙窝放了吸收慢的小牛骨,可以长时间维持牙槽骨的丰满度,防止塌陷:

图片
图片

交叉缝合锁住胶原蛋白:

图片
图片

术后CBCT:

图片
图片
图片

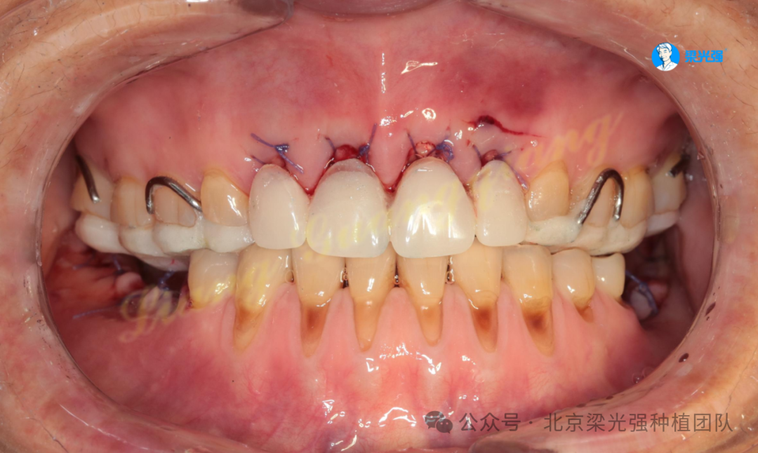
根据抬高的颌关系上颌架制作颌垫和临时牙(由于咬合关系,同时骨密度小,扭力不足,无法制作固定的临时修复)。

图片
图片
图片
图片
图片
图片

戴入口内:

图片

术后一个月复查,拔牙窝软组织愈合良好。


图片
图片
图片


术后4个半月口内照,余留牙根据新的咬合高度全冠修复。

图片


图片
图片


牙槽嵴顶用金刚砂车针去除上皮层。


图片


安装愈合基台将去上皮的角化龈折叠翻转推到唇侧,以增加唇侧附着龈厚度。

图片
图片
图片
图片
图片

两周后,12-22临时固定修复,牙龈塑形:
图片
图片

两周后修改临时牙的龈缘形态和邻接点位置。

图片
图片

一个月后永久修复。

图片

图片



图片

图片

微信号丨Alice13371755260

梁光强种植团队-匠心行



图片

图片


淘宝官方店铺

梁光强种植专利产品



阅读 844
分享文章: 新浪微博
亲,已经到底了!

最新评论

喜欢这篇文章的话,就点一下给博主推荐一下吧!

推荐博主